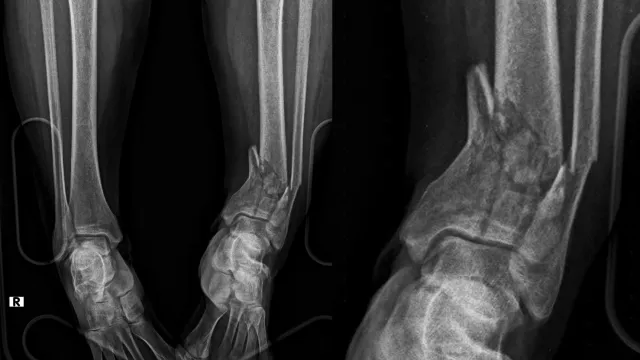
Travma Sonrası Kırık Cerrahisi: 7/24 Acil Müdahale
Travmalar, günlük yaşamda en sık karşılaşılan acil durumlardan biridir. Trafik kazaları, yüksekten düşmeler, spor yaralanmaları veya iş kazaları sonuc...
Devamını OkuOrtopedi ve travmatoloji hakkında güncel bilgiler, öneriler ve uzman görüşleri.
Travmalar, günlük yaşamda en sık karşılaşılan acil durumlardan biridir. Trafik kazaları, yüksekten düşmeler, spor yaralanmaları veya iş kazaları sonuc...
Devamını OkuTravma ve Kırık Cerrahisi Nedir?Travma sonrası oluşan kırıklar, çıkıklar ve yumuşak doku yaralanmaları ortopedinin en sık karşılaştığı acil durumlardı...
Devamını OkuArtroskopik cerrahi, halk arasında “kapalı eklem ameliyatı” olarak bilinir. Küçük kesilerden ekleme yerleştirilen kamera ve özel aletler sayesinde ekl...
Devamını OkuSpor yapan gençlerden günlük yaşamda ani hareket eden kişilere kadar birçok insanın başına gelebilecek en yaygın diz yaralanmaları menisküs yırtıkları...
Devamını OkuEl, günlük hayatımızda en çok kullandığımız organlarımızdan biridir. Yaralanmalar, kesiler, kırıklar veya sinir-tendon hasarları, elde ciddi fonksiyon...
Devamını OkuDiz kireçlenmesi (diz osteoartriti), eklem kıkırdağının aşınması sonucu ağrı, hareket kısıtlılığı ve yaşam kalitesinde ciddi düşüşe yol açar. İleri ev...
Devamını OkuEl, günlük yaşamda en çok kullanılan organlarımızdan biridir. Sanayi işçileri, ofis çalışanları, sporcular ve ev hanımları… Hepimiz için eller, çalışm...
Devamını OkuKıkırdak dokusu, eklemlerimizin en önemli yapılarından biridir. Diz, kalça, omuz ve ayak bileği gibi eklemlerde kemiklerin birbirine sürtünmeden rahat...
Devamını OkuPRP (Platelet Rich Plasma – Trombositten Zengin Plazma), hastanın kendi kanından elde edilen ve yoğun miktarda iyileştirici hücre ve büyüme faktörü iç...
Devamını Oku